一个新的紧凑型高性能小动物磁共振成像平台(M3),该系统使用一种新的磁铁设计和一套相关的软件,降低了小动物磁共振成像仪的成本和复杂性。这个新的MRI平台为没有磁共振或成像专业知识的病理学家提供了获得活体实验动物MRI和离体MRH高质量图像的机会,从而可以大大增强临床前毒理学研究和动物疾病模型开发中的常规组织病理学研究。

与超导小动物磁共振成像系统不同,紧凑型高性能小动物磁共振成像平台是可移动式和自屏蔽的,因此M3可以放置在大多数实验室或研究设施中,不需要特殊的屏蔽室、冷冻剂或冷却剂,也不需要专用的电气或管道供应。此外,紧凑型高性能小动物磁共振成像平台具有专用的软件和硬件以及预先编程的协议和样本处理系统,以方便病理学家对活体动物或离体的动物样本进行高通量成像。

紧凑型高性能小动物磁共振成像平台的优点是能够纵向监测疾病(活体MRI)和快速获取离体组织的多个切片(离体MRH),从而提供整个靶器官的三维数字形态学详细数据,同时保持标本完整,以便后续常规组织病理学检查。与传统组织病理学提供的有限数量的二维(2-D)组织切片相比,核磁共振技术可以对毒理学效应和疾病进展进行更全面的评估。
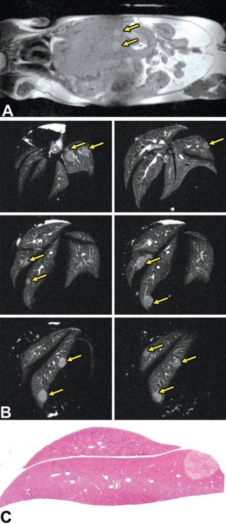
活体磁共振成像在模型小鼠中检测到局灶性肝损伤(图A)。肝脏的高分辨率离体MRH评估可以在小鼠(图B和C)中鉴定几个单独的局灶性脂肪病变。通过常规组织病理学证实病变为局灶性脂肪改变(图C)。

Aspect M7™小动物核磁共振成像系统

电话:400-060-3233
售后:400-060-3233
返回顶部